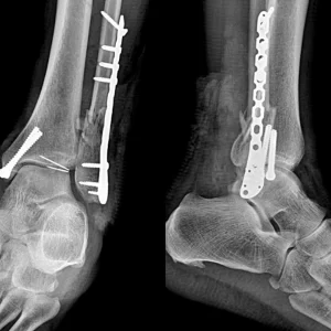
Placa INNOBLOX
Sistema 3.5
Anatómica Peroné Distal Lateral
Indicaciones
Fracturas epifisiarias y metafisiarias del Peroné Distal lateral.
Materiales
Acero para implantes 316 LVM
Presentación Set
Placas derechas e izquierdas 3 - 5 - 7 orificios - Acero
Para usar con:
» Tornillo Esponjoso de Bloqueo 2,7 mm - Acero
» Tornillo Cortical Autotarrajante de 3,5 mm - Acero
» Tornillo de Bloqueo de 3,5 mm - Acero








